The patient was treated with a combination regimen of chemotherapy and targeted therapy, based on updated guidelines from the European Society for Medical Oncology (ESMO), the U.S. National Comprehensive Cancer Network (NCCN), and the Vietnamese Ministry of Health’s Guidelines for the Diagnosis and Treatment of Colorectal Cancer.
Accompanying the patient throughout the treatment process was MSc., MD. Bui Quang Loc, Head of the Oncology Unit, Hanoi French Hospital.
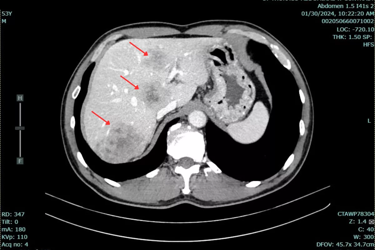
The cancer was first detected during a routine health check-up over a year ago. At that time, the patient had a large tumor located 5 cm from the anal margin, thickening of the rectal wall, and about 15 metastatic tumors in the liver, with the largest measuring 48x83x50 mm. The patient’s CEA tumor marker level was 105.6 ng/mL, significantly exceeding the normal threshold of under 5 ng/ml.
After thorough examination and necessary tests, the patient was diagnosed with advanced-stage rectal cancer with multiple liver metastases.
Dr. Bui Quang Loc explained:”The liver is one of the most common metastatic sites for colorectal cancer because it receives blood directly from the digestive system. Cancer cells can spread from the colon or rectum to the liver through the bloodstream or lymphatic system, forming secondary tumors there.“This was a complex case requiring a comprehensive treatment approach and continuous monitoring to control the disease, prevent tumor progression, and prolong survival.

According to guidelines from the Vietnamese Ministry of Health, ESMO, and NCCN on colorectal cancer treatment, a personalized approach is necessary to achieve optimal outcomes. Treatment planning must consider not only the cancer stage, tumor size, and location but also molecular biology test results.In this case, molecular testing revealed an RAS gene mutation, with no BRAF mutation. RAS gene mutations can drive cancer growth and influence the effectiveness of certain therapies, particularly those targeting the EGFR receptor.Based on the patient’s condition and molecular test results, a chemotherapy and targeted therapy regimen was selected, specifically tailored for RAS-mutated cases. The patient received first-line treatment with a standard regimen consisting of Fluoropyrimidine, Oxaliplatin, and Bevacizumab.

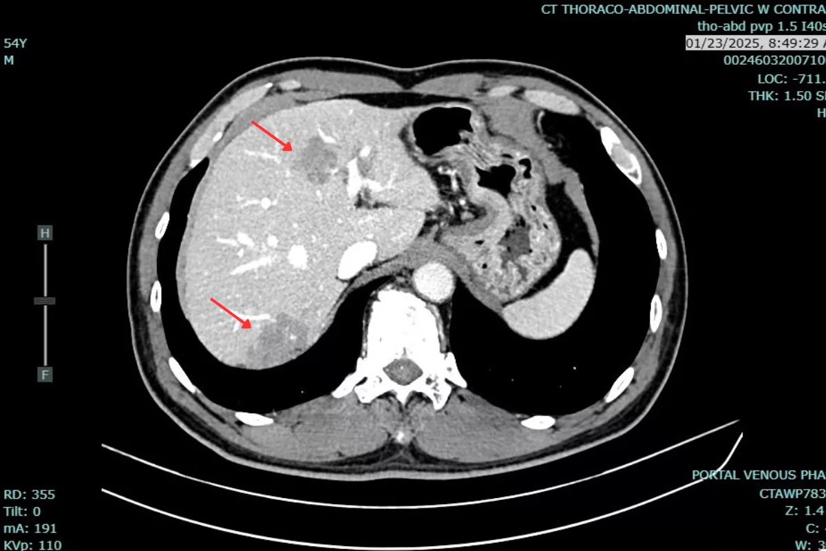
Dr. Bui Quang Loc reported:”The patient responded well to treatment. After the first cycle, some of the smaller liver lesions were no longer visible on post-treatment CT scans. After nearly a year, the largest liver lesion’s volume decreased from 78 mL to 27.26 ml. Liver metastases remained stable after treatment. Additionally, the patient’s CEA level dropped from 105.6 ng/ml to 33.6 ng/ml.”This patient’s treatment journey is a strong testament to the effectiveness of a personalized, multimodal approach in managing metastatic rectal cancer. The dedicated monitoring, tailored regimen adjustments, and close patient follow-up by the medical team at Hanoi French Hospital played a crucial role in not only controlling the disease but also improving the patient’s quality of life.